
你是否经常紧紧地抿着嘴唇,
生怕一笑就露出难看的黑黑的氟斑牙?
你是否因为你的氟斑牙而觉得自卑,不敢开口笑?
因为氟斑牙,找工作也常常受到歧视?
到底该如何解决这个问题?让阳光口腔为你解答!
饮用水是摄入氟的一个大来源,
水氟摄入是按人的年龄、气候条件、饮食习惯而综合决定的。
水氟的适浓度主要又取决于当地的年平均高气温,
美国为0.7~1.2ppm,广州约为0.7ppm。
生活中的各个含氟产品也是我们产生氟斑牙的一大重要原因,
食物中氟化物的吸收,
取决于食物中无机氟化物的溶解度,以及钙的含量。
如果加入钙的化合物,则氟的吸收就显着减少。
有实验证实:充分的维生素A、D和适量的钙、磷,
可减轻氟对机体的损害。
深圳阳光口腔温馨提示:
含氟量过高,并不是造成氟牙症的唯一原因,
因为水中含氟量稍高的地区,
也不是人人皆患此症,它的成因并不是唯一的。
氟斑牙患者的乳牙长出来后,
和正常人一样洁白透亮。
但是,噩梦从童年时换掉乳牙后的第一颗新牙开始,
牙齿的颜色由白变灰,然后变黄,
直至变黑,令他们“笑不敢露齿”!
作为一种典型的地球化学性疾病,
氟中毒只能预防却无法治愈,
许多人因此失去了参军、升学甚至外出打工的机会。
那么,氟斑牙能否通过刷牙或洗牙进行美白?
答案是否定的,简单措施无法对氟斑牙问题起到任何作用。
氟斑牙不但使牙齿着色,影响牙齿外观,
严重者可使牙齿缺损凹陷无法修复,对牙齿产生侵害性的腐蚀。
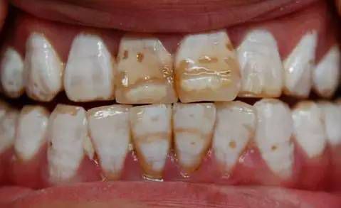
初期的氟斑牙,
牙釉质表面出现白色粉笔样的不透明的斑块即白垩状斑块;
后期,氟斑牙开始产生着色,牙釉质出现黄褐色或暗棕色斑块,
以上前牙为明显,牙釉质仍光滑坚硬。
阳光口腔温馨提示:
无论是刷牙还是洗牙,都不能扭转这个过程。
那怎么办呢?阳光来解答。
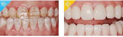
德国DMG渗透树脂
这是近年来比较受欢迎的一种美白方法,
由于具有美白效果好、快速、安全等诸多优点,
特别受大家青睐,是轻、中度氟斑牙美白不错的选择。
阳光口腔英国WY10恒温美白技术,
采用专利恒温纳米渗透技术,美白效果直达牙本质,
能够在对口腔无任何伤害的情况下轻松达到美白牙齿的效果。
全瓷牙冠
通过磨除少部分牙体组织,然后做个全瓷牙冠,牙齿就靓丽洁白。
阳光口腔精雕全瓷牙冠密合度良好,不易松脱。
且不需要多次往返医院,试戴、修正冠体,
磨牙量少,不刺激牙龈,对光线的反射更接近天然牙,
其绝佳的光学性质、极好的生物相融性,
逼真的色彩,在光线的反射下不会出现反青的现象,适用于重度氟斑牙。
3D瓷贴面
相较于全瓷冠,3D瓷贴面磨牙更少,适合于重度氟斑牙。
阳光口腔3D超薄瓷贴面并非普通贴面,
而是像隐形眼镜那样,贴附在牙齿上,不损伤牙齿,
3D软件设计制作,数控设备加工,
修复后美观大方经久耐用,维护方便,有非常理想的美白作用。
阳光陪你一起“对抗”氟斑牙!
免责声明:文字图片来源于网络,侵则删